Across the Wire:
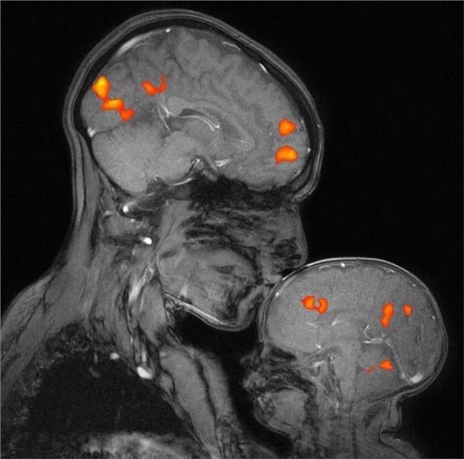
This is the first MRI capturing the brain activity of a mother kissing her child...

Her kiss has caused a chemical reaction in her baby’s brain. Source Credit : @rebecca_saxe , @MIT

From the Author

Tech Guy

Top